ESTUDIO BIOECOLÓGICO DE LA ALMEJA DE AGUA DULCE (ANODONTITES SP)

CASTRO ROJAS G. V. Bióloga Esp.; RODRÍGUEZ PULIDO J. A. Biólogo MSc. (C).

Facultad de Ciencias Básicas e Ingeniería Universidad de los Llanos.

RESUMEN

La almeja de agua dulce, como también los demás bivalvos, tiene la capacidad de incorporar en sus tejidos blandos, cantidades importantes de elementos metálicos presentes en el medio sin que, en principio, su metabolismo se vea afectado. Este proceso recibe el nombre de bioacumulación. Este hecho convierte a los bivalvos en un buen grupo de bioindicadores con el fin de establecer el grado de contaminación del medio circundante.

El presente estudio describe el crecimiento y la mortalidad de las almejas de agua dulce en jaulas sumergidas en un estanque piscícola destinado a la ceba de tilapia roja, Oreochromis sp. Los ejemplares adultos de Anodontites sp., fueron traídos del río Meta en la región de Marayal, colectados durante los meses de diciembre, enero y febrero, aprovechando los niveles más bajos del río (252cm, 111,2cm y 112,0cm) respectivamente, y ubicando las almejas en los playones, madres viejas y lagunas. Se transportaron en recipientes abiertos sin necesidad de aireación durante tres horas, luego permanecieron en cuarentena en piletas de cemento y con recambio permanente. Bajo las condiciones ya descritas, las almejas alcanzaron hasta 96,15gr. Presentaron incrementos promedios en 153 días de cultivo de 0,213gr/día en peso, 0,008cm/día de longitud, 0,007cm/día en el ancho y 0,002 cm/día de alto. Lo anterior supone un cultivo con buenas posibilidades en la producción de biomasa, máxime si podemos destinar para su cultivo áreas usadas en la disposición de aguas residuales, lagunas de oxidación, canales de desagüe, etc.

Durante el ensayo fue evidente la necesidad de mantener las almejas en fondos limosos y de aguas con alta productividad primaria (fitoplancton). Por ser organismos filtradores no requieren de alimento preparado ya que lo obtienen del plancton, sedimentos y sustancias suspendidas en el agua. Dada la capacidad de filtración, se considera que las almejas tienen la capacidad de renovar el agua de los estanques donde se cultiven, mejorando por consiguiente las condiciones para el crecimiento de otras especies (peces).

ABSTRACT

The sweet water clam as well as the other bivalve has the capacity to incorporate to its soft tissues important quantities of metallic elements present in the environment without at the beginning its metabolism is affected. This process is called bioaccumulation. This fact transform to the bivalve in a good group of bioindicators and its purpose is to establish the contamination grade in the rounding environment, the present studio describes the sweet water clams growth and mortality in sunk cages in a fish pond dedicated to fatten the red tilapia, oreochromis sp. The adult specimens of anodontites sp, were brought from Meta River in Mayaral region, collected during December, January and February taking advantage of the lowest levels of the river, respectively and locating the clams in the riverside, old mothers and lagoons. They were transported in open containers without necessity of air providing during three hours, then they remained in storage in a cement tank with permanent water replacement.

Under the conditions already described, the clams reached up to 96.15gr which presented increments averages in 153 days of cultivation 0.213gm/day in weight, 0.008cm/day of longitude 0.007cm/day on wide and 0.002cm/day of high. The previous information supposes cultivation with good possibilities in the biomass production, been better if it possible to dedicate for its cultivation areas used in disposition of residuals areas, oxidation lagoons, drainage channels etc. During the experiment was evident the need to keep the clams in limo funds and with high primary production water (phytoplankton). Due to being filter organisms they do not require of prepared food since they obtain it from plankton, silts, and suspended substances in the water. Given the capacity of filtration, is considered the clams have the capacity to renovate the water of the ponds where they are cultivated improving the conditions consequently for the growth of other species (fish).

INTRODUCCIÓN

Las almejas son moluscos bivalvos, lamelibranquios con gran importancia comercial tanto como alimento como por la conformación de perlas y suministro de carbonato cálcico o como elemento artesanal al usar sus conchas para hacer botones y otros pequeños objetos de nácar.

Tienen una amplia distribución tanto en hábitat marinos como continentales, allí son excavadores en arena y/o fangos con la ayuda de su pie, alimentándose de detritos orgánicos o del plancton que hacen pasar a través de su sifón inhalante.

Sus poderosos músculos internos, un ligamento de la charnela y una charnela calcificada en el ápice de la valva permiten al animal protegerse de muchos depredadores manteniendo las valvas cerradas. Los prominentes anillos de crecimiento de la valva son útiles para determinar su edad.

El conocimiento de la biología, hábitat, parámetros poblacionales e interacciones de estos ejemplares con otros grupos de organismos acuáticos, puede ser complementado con el diseño de claves diagramáticos de identificación de especies, junto con colecciones de referencia depositadas en el área de estudio (Bonetto,1967).

Las almejas de agua dulce constituyen un elemento fundamental de las comunidades bentónicas que por su habilidad filtradora permite ser una especie indicadora de la salud de los humedales (Guerrero, E.1998).

Pese a que los grupos más utilizados en Colombia como indicadores biológicos corresponden al Fito y zooplancton (de gran importancia para comunidades lénticas), vale la pena resaltar la importancia de los organismos bentónicos tanto para mecanismos de autodepuración, como indicador en los sistemas lóticos, pues ellos permanecen en las regiones profundas de los ríos en un permanente proceso de filtración (Pinilla,E.1998) y así identifican aspectos socio-económicos de estos ecosistemas principalmente en referencia a la bioconcentración de pesticidas y metales pesados.

El presente estudio hace un aporte al conocimiento en Bivalvos dulce-acuícolas regionales, caracterizando y describiendo la morfología básica macro y microscópica así como las características etológicas de oferta de hábitat y de alimento, conjugado con parámetros físico-químicos de los ambientes acuáticos de los ejemplares de Anodontites sp.

De otra parte se establecen los cambios en tamaño y peso bajo condiciones de laboratorio y de estanque, así como la introducción del Anodontites a los sistemas de producción piscícola actual.

LAS ALMEJAS EN EL CONTEXTO MUNDIAL

La producción mundial de almejas en 1990 fue 380,368 toneladas, con un crecimiento interanual del 12.4% con respecto a l985. Las principales especies cultivadas son: Venerupis japonica (45.9%), Solen spp. (37.0), Mercenaria mercenaria (6.6%) y Tapes spp. (3.7%), que en su conjunto aportaron el 93.1% del total cultivado.

Los principales países cultivadores son: China (65.7%) y República de Corea (17.7%). La producción de almejas y berberechos cultivados aportó el 29.6% del total de la producción mundial para 1990 (FAO 1993).

La expansión del cultivo de moluscos ha sido modesta en el último quinquenio, y tan sólo representó un crecimiento interanual promedio del 25%, pero con un descenso desde 1988. El país que tiene el mayor número de centros de cultivo es Chile con 98 distribuidos así: Chorito (Mytilus chilensis) 36; ostión (Argopecten purpuratus) 24; Choro (horomytilus chorus) 22; ostra chilena (Ostrea chilensis) 6; cholga (Aulacomya ater) 3; ostra del pacífico (Crassostrea gigas) 7.  En México se reportan 80 centros, de los cuales 77 son cultivos de ostras (Crassostrea virginica); 1 de mejillón (Mytilus edulis); 2 de abulón (Haliotis spp.) y 1 de concha abanico (Argopecten circularis). En Cuba existen 17 centros para el cultivo de ostras (Crassostea rhizophorae); en Perú, dos centros, destinados al cultivo de ostión (Argopecten purpuratus); y en Venezuela dos, que cultivan mejillón (Perna perna).

En el caribe colombiano existe la ostra de mangle Crassostrea rhizophorae, y sus primeros ensayos de cultivo se hicieron en la Ciénaga Grande de Santa Marta (Ciardelli,1970). Desde 1986 y en diferentes estudios se ha experimentado la fijación de semilla en collares de conchas de ostra, trozos de llantas, estacas (troncos de mangle), mallas PVC, sistemas de llantas amarradas a las raíces de mangle y láminas de cartón-plast.

En el litoral pacífico se ha trabajado con Striostrea prismatica, Crassostrea columbiensis y Anadara tuberculosa, especialmente en el área de la Ensenada de Tumaco y en el Golfo de Tortugas.

Desde 1993, el Instituto Nacional de Pesca y Acuicultura-INPA-adelanta en convenio con la Corporación Autónoma Regional de los Valles del Sinú y San Jorge C.V.S., una evaluación preliminar del cultivo de la ostra de mangle en el estuario de la Bahía de Cispata, en el departamento de Córdoba (Arias, 1995).

Mapa 1. ÁREA DE ESTUDIO.

ESTACIÓN: PUENTE LLERAS. RÍO META. PERÍODO: 1983–2002 CÓDIGO: 3501702.

MUNICIPIO: PUERTO LÓPEZ

Foto 1. Jaulas sumergidas con ejemplares de Anodontites sp.

Cuadro 1

 

LAS ALMEJAS EN EL CONTEXTO REGIONAL.

Colombia posee un gran potencial para el cultivo de bivalvos por disponer de varias características tales como:

  1. Altas temperaturas promedios anuales.
  2. Diversidad y variedad de especies.
  3. Diversos ambientes aptos para el cultivo.

Un gran mercado potencial como fuente de alimento, como materia prima para artesanías e incluso para producción de perlas.

Pese a las anteriores posibilidades tan sólo se han hecho ensayos o cultivos experimentales ante todo en ostras marinas (crasos trea) con pocos reportes de trabajos hechos en especie dulce-acuícolas, principalmente por el desconocimiento de los aspectos biológicos, ecológicos, económicos y de aceptabilidad en el mercado. Algunos trabajos realizados en el país con especies dulceacuícolas reportan la ostra Acostea rivoli para la región del Tolima; las almejas Anodontites elongatus para la región del Huila y Anodontites trapecialis para la región de Bolívar (Zapata 1994).

PAPEL BIOECOLÓGICO DE LA ALMEJA DE AGUA DULCE

La almeja de agua dulce, como también los demás bivalvos, tiene la capacidad de incorporar en sus tejidos blandos, cantidades importantes de elementos metálicos presentes en el medio sin que, en principio, su metabolismo se vea afectado Este proceso recibe el nombre de bioacumulación. Este hecho convierte a los bivalvos en un buen el mercado grupo de bioindicadores con el fin de establecer el grado de contaminación del medio circundante.

MATERIALES Y METODOS

ÁREA DE ESTUDIO

Los ejemplares de Anodonta se colectaron en la parte alta del río Meta, vereda Marayal (Mapa 1), municipio de Puerto López ubicado en las coordenadas 4º5’N y 72º58’W, a una altitud de 181msnm, con una temperatura media de 26ºC, humedad relativa de 82.8% y precipitación media anual de 2.403.0mm.

Los ejemplares fueron llevados a los estanques piscícolas de la granja “La Primavera” en Guamal Meta a 173Km. del sitio de captura, ubicada en las coordenadas 4º6’N y 72º75’W, a una altitud de 360msnm, con una temperatura de 25.5ºC, humedad relativa de 77% y precipitación media anual de 3.750mm.

DESCRIPCIÓN MORFOLÓGICA

En este documento se hace una descripción de la morfología general de la almeja de agua dulce, Anodontites sp, con algunas acotaciones histológicas, referentes a los tejidos branquiales (Figuras 1,5), tejidos epiteliales (Figuras 4,5), tejido muscular (Figura 6), ovario (Figura 2) y tubo digestivo (Figura 3). Además se describe el crecimiento y la mortalidad en jaulas sumergidas en un estanque piscícola (Foto 1), destinado a la ceba de tilapia roja, Oreochromis sp.

Los ejemplares adultos de Anodontites sp., fueron traídos del río Meta en la región de Marayal, colectados durante los meses de diciembre, enero y febrero, aprovechando los niveles mas bajos del río (252cm, 111,2cm y 112,0cm) respectivamente (Cuadro 1) y ubicando las almejas en los playones, madres viejas y lagunas. Se transportaron en recipientes abiertos sin necesidad de aireación durante tres horas, luego permanecieron en cuarentena en piletas de cemento y con recambio permanente. Después de pesados y medidos se pasaron a las jaulas y se sembraron en el estanque piscícola en el cual estaban cebándose 500 tilapias rojas.

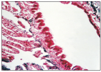
CORTES HISTOLÓGICOS EN LA ALMEJA DE AGUA DULCE(Anodontites sp.)

Figura 1. Filamentos branquiales compuestos por Lamelas branquiales. H&E 10X aproximadamente.

Figura 2. Ovário con lamelas ovígeras H&E 400X aprox.

Figura 3. Tubo digestivo. H&E 40X aproximadamente.

Figura 4. Células epiteliales. Estructura epitelial, para transporte de gases y una estructura de rastrillo para atrapar nutrientes. Tiene desarrollado un sistema vascular soportado por vasos hemolinfáticos H&E 40X aproximadamente.

Figura 5. Branquias asociadas con la entrada al tracto digestivo que es sinuoso y tiene un epitelio seudo estratificado y un epitelio simple. H&E 400 X aproximadamente.

Figura 6. Tractos de músculo estriado que se insertan en la superficie del pie para retraerlo y relajarlo. Presencia de células sanguíneas H&E 100X aproximadamente.

EJEMPLARES EN ESTANQUE

Se sembraron en dos jaulas de 50cmX50cm, 42 almejas de agua dulce durante 153 días, con un peso promedio de 55.4gr. en la jaula que para efectos de identificación, se denominó, jaula blanca y 71,9gr. en la jaula denominada jaula negra; longitud promedio de 8,163cm, jaula blanca y 8,264cm, jaula negra , en un estanque escarbado de tierra de 200m2 destinado al cultivo de tilapia roja.

Se tuvo la precaución durante la siembra de ubicar las jaulas en proximidades del desagüe a fin de que estuviesen cubiertas por limo, condición necesaria para su anclaje. Mensualmente se tomaron los datos correspondientes: longitud, ancho, alto a la altura del umbo y peso, en la totalidad de los ejemplares (Tabla 2), los cuales eran nuevamente ubicados en las jaulas para posteriores toma de datos.

FACTORES FÍSICO-QUÍMICOS

Durante la colecta de los ejemplares, en el río Meta, como durante su permanencia en los estanques piscícolas se tomaron registros de las principales variables climáticas ambientales (temperatura, precipitación y caudal del río) y de algunos factores como: pH, conductividad, salinidad, temperatura, oxígeno disuelto, dureza, alcalinidad, etc.

RESULTADOS Y DISCUSIÓN

DESCRIPCIÓN MORFOLÓGICA

Para la descripción morfológica de los ejemplares se realizaron 27 disecciones en el laboratorio de Biología de la Universidad de los Llanos, con la participación de los estudiantes de primer semestre inscritos en la asignatura Biología, en el primer y segundo semestre académico del año 2002.

Fotografías mostrando las disecciones de los ejemplares de Anodontites sp.

Foto 2. Disección de un ejemplar de Anodontites, mostrando pie y branquias.

En términos generales la descripción contempla morfología tanto externa como interna de los ejemplares así:

DESCRIPCIÓN MORFOHISTOLÓGICA GENERAL DE LA ALMEJA DE AGUA DULCE

Los miembros del filo Mollusca son algunos de los invertebrados más llamativos y mejor conocidos e incluyen formas como las almejas, ostras, calamares, pulpos y caracoles. Se han descrito más de 50.000 especies actuales.

La clase Bivalvia, también denominada Pelecypoda o Lamellibranchia, incluye a animales tan conocidos como las almejas, las ostras o los mejillones.

La almeja de agua dulce es un ejemplar correspondiente a la clase Bivalvos. Los miembros de esta clase tienen simetría bilateral, están comprimidos lateralmente, y el cuerpo blando está dentro de una concha rígida formada por dos piezas, de aquí que se llamen bivalvos. No existe una cabeza diferenciada, pero en un extremo de la cavidad del manto hay una boca, y detrás de ésta se encuentra un pie empleado para la locomoción o para enterrarse en los lechos lodosos. El animal se alimenta mediante un par de branquias, situadas en su parte trasera, capturando pequeñas partículas suspendidas en el agua. Presenta dos tubos, llamados sifones, que absorben y expelen agua y un sistema nervioso sencillo.

El pie suele ser cuneiforme y las branquias son delgadas y en forma de lámina (Foto No.2), con filamentos largos que quedan plegados hacia el eje central. Los filamentos adquieren forma de doble v. Los filamentos situados uno al lado de los otros forman laminillas a manera de una placa que capta el agua impulsada, por el sifón inhalante a través de los numerosos poros y es así llevada a la cámara suprabranquial, dejando a su paso nutrientes y oxígeno antes de ser expelida por el sifón exhalante.

Tubo digestivo: las laminillas branquiales hacia su extremo anterior terminan en el estómago y los palpos labiales que secretan copiosas cantidades de moco rodean las partículas suspendidas en el agua. Estas masas mucosas van por el borde inferior de las branquias en la cámara suprabranquial hasta el estómago que se caracteriza por presentar un saco del estilo o tallo cristalino.

La concha externa de la almeja de agua dulce, es algo ovalada, constituye un sólido esqueleto externo, que protege el cuerpo y suministra inserción para los músculos. Está formada por dos valvas simétricas, una izquierda y otra derecha, cuyo borde más fino es el ventral, mientras que el más grueso es el dorsal.(Foto 3).

En la región dorsal hay un ligamento de la charnela elástico, entre las valvas, que tiende a juntar las caras dorsales de ésta y a separar las caras ventrales. Un umbo anterior, en la zona más antigua de la concha, hinchado en cada valva en cuyo alrededor hay numerosas líneas de crecimiento.

Las valvas se cierran por la acción de tres músculos fijados a sus caras internas: Los músculos aductor anterior y retractor anterior, localizados al extremo por el que aparece el pie (extremo anterior) y el músculo aductor posterior que se inserta cercano al borde de la charnela en la región posterior y cercano al sifón exhalante.

Dos lóbulos de tejido llamados el manto, segregan la concha, formando una espaciosa cavidad en torno al cuerpo blando, formado por una masa visceral media, fija dorsalmente. Su parte antero ventral forma el pie muscular. A cada lado de éste cuelga una delgada branquia doble, por fuera de la cual hay un lóbulo del manto, lámina delgada de tejido, que se adhiere a la superficie interna de una valva.

Por detrás los bordes del manto forman dos tubos cortos: un sifón inhalante o ventral y un sifón exhalante o dorsal. El agua entra y sale por estas aberturas.

CRECIMIENTO DE ALMEJAS EN ESTANQUES PISCÍCOLAS

Para optimizar el uso de los estanques, previo a la siembra de las almejas fueron sembradas las tilapias con una densidad de 3peces/m2 y el cultivo se manejó durante 183 días utilizando concentrado comercial para tilapia, como alimento (Extrurizado del 28% proteína cruda). El recambio de agua fue bajo, (5-7%). El estanque previamente había sido encalado y abonado mostrando un desarrollo importante del fitoplancton, (clorofíceas, cianofíceas y diatomeas) manteniendo unas condiciones fisicoquímicas como lo muestra la tabla 1.

Tomando como punto de referencia algunos parámetros permisibles en el agua potable y analizando los valores en la tabla 1, se observa que el agua en donde habitan las almejas, presenta unos parámetros con condiciones no adecuadas. Dentro de estos se encuentran los niveles de calcio, que presenta unos valores altísimos, tanto en el estanque como en el agua extraída del lodo del fondo del estanque; lo mismo sucede con las concentraciones de magnesio en el agua del estanque. Estos valores se deben a que el estanque periódicamente se encala agregando cal dolomita con el fin de controlar el pH. Otro de los parámetros que se observa con un valor por encima del permitido es la concentración de bicarbonatos en el agua del lodo.

Esto también se debe al proceso de encalamiento. En el agua extraída del lodo se observan unos valores altos de amonio y de nitratos que son indicadores de descomposición de materia orgánica

TABLA No. 1 RESULTADOS PROMEDIO DE LOS MUESTREOS EN LOS ESTANQUES DE CULTIVO DE ALMEJA DE AGUA DULCE (Anodontites sp)

En el agua del estanque también se observa un bajo nivel de saturación de oxígeno disuelto, este hecho facilita el desarrollo de microorganismos anaeróbicos que pueden conducir a una situación de contaminación microbiana.

El contenido de hierro en el agua del estanque también se encuentra con unos valores por encima de los permitidos en el agua potable. Los demás parámetros medidos no presentan situaciones preocupantes desde el punto de vista fisicoquímico.

Bajo las condiciones ya descritas, las almejas alcanzaron hasta 94,6gr. y 97,73gr. en las jaula blanca y negra respectivamente. Presentaron incrementos promedios en 153 días de cultivo de 0,213gr/día en peso, 0,008cm/día de longitud, 0,007cm/día en el ancho y 0,002cm/día de alto (tabla 2).

Lo anterior supone un cultivo con buenas posibilidades en la producción de biomasa, máxime si podemos destinar para su cultivo áreas usadas en la disposición de aguas residuales, lagunas de oxidación, canales de desagüe, etc.

Durante el ensayo fue evidente la necesidad de mantener las almejas en fondos limosos y de aguas con alta productividad primaria (fitoplancton). Por ser organismos filtradores no requieren de alimento preparado ya que lo obtienen del plancton, sedimentos y sustancias suspendidas en el agua. Dada la capacidad de filtración, se considera que las almejas tienen la capacidad de renovar el agua de los estanques donde se cultiven, mejorando por consiguiente las condiciones para el crecimiento de otras especies (Peces).

En la hembra madura los Ovocitos pasan del ovario a las cámaras suprabranquiales y allí son fecundados por los espermatozoides expulsados por el macho y contenidos en el agua inhalada por las hembras. Los huevos se adhieren a los tubos acuíferos de las branquias donde son incubados (conforman un marsupio), allí se desarrollan hasta el estado de larva belígera o gloquidio que se ha modificado para llevar una vida parásita con los peces como hospedadores, siendo estos los encargados de dispersar a estos bivalvos sedentarios. El gloguidio (larva) esta cubierto por dos valvas en cuyos bordes se presentan unos ganchos, con los cuales se sujeta de su hospedadero. En el presente proyecto fueron observados sobre alevines de Tilapia (Orechoromis niloticus) principalmente en el pedúnculo caudal, aletas y branquias; en alevines de Cachama (Piaractus brachipomun) en aleta caudal y en alevines de carpa (Ciprinus carpio) en aleta caudal y branquias (Foto 4). En cualquier caso los tejidos del pez próximos al sitio de fijación de los gloquidios crecen alrededor de este formando un quiste. Es de anotar que las infestaciones masivas con gloquidios noafectaron a los adultos pero ocasionaron mortalidades en alevines de Carpa hasta de un 5% y en tilapia hasta de 3,33%.

El periodo de infestación nunca fue mayor de 25 días. Al final, la almeja inmadura sale del quiste cae al fondo y se entierra en el lodo donde inicia su vida libre.

Por los hallazgos encontrados en el ovario, suponemos que se trata de una especie con maduraciónsincrónica en dos grupos y de desove total

Foto 3. Caras externa e interna de la almeja de agua dulce Anodontites sp.

TABLA No 2. PROMEDIOS TOTALES DE LONGITUD, ANCHO, ALTO Y PESO EN LOS JEMPLARES DE ANODONTITES SP DURANTE EL PERIODO DE ESTUDIO.

Foto 4. Gloquidios (Larvas) de Anodontites sp sobre alevines de tilapia (Orechoromis noloticus).

GRÁFICOS Y ANÁLISIS DE LOS DATOS MORFOMETRICOS OBTENIDOS PARA ANODONTITES DURANTE EL PERIODO EN EL PRESENTE ESTUDIO.

El incremento en peso de los ejemplares de Anodontites sp, durante el presente estudio fue de 32,55gr en promedio, frente al incremento en peso reportado para Crassotea rizophora y Mytilus edulis de 21,5gr y 23,27gr respectivamente. Esta mayor ganancia en peso ofrece grandes ventajas para Anodontites por cuanto es mayor el porcentaje en lo referente a carne fresca, en consecuencia de la delgadez de su concha (Tabla 3).

La grafica muestra la condición del animal en relación con el medio. Es de notar que las almejas alcanzaron un incremento en peso durante el primer mes, cuando la producción de fitoplancton fue mayor. Durante el segundo, tercer y cuarto mes de permanencia en el estanque no se encontró incremento considerable y por el contrario los ejemplares de la jaula negra perdieron peso durante el cuarto mes, encontrando mejoría como respuesta al florecimiento de plancton por reabonamiento. Mensualmente se hizo un arrastre de plancton a fin de verificar el tipo de algas presente durante la época del ensayo.

Al comparar los contenidos estomacales con los hallazgos de algas en el estanque (por arrastre de plancton) ser encontró alta afinidad por la clorella y scenedesmus.

Se puede observar que los ejemplares de Anodontites sp tienen un crecimiento en longitud a los cinco meses de sembrados menor (1,5), que el reportado para las ostras marinas Crassotea rizophora (5,77) y mejillón Mytilus edulis (4,89) (Tabla 3).

El estanque fue manejado como sistema verde, con bajo recambio (7%) y con abonamientos periódicos. En los estanques de cultivo de tilapia, la cantidad de plancton varía constantemente debido al metabolismo alto de las microalgas, agotando los nutrientes y el agua se torna transparente debido a la producción ejercida por los peces y las almejas (Senhorine,1995).

Al alcanzarse la talla de venta de la tilapia, se procedió a cosechar el estanque, lo que obligó a la reubicación de las jaulas con las almejas en la laguna de oxidación, razón por lo cual en el último muestreo se registra la muerte de 9 ejemplares en la jaula blanca y 6 ejemplares en la jaula negra. Se colocaron allí faltando 8 días para la toma de datos del último muestreo.

Las macrófitas presentes en la laguna de oxidación impiden el florecimiento del fitoplancton por la drástica disminución de luminosidad y esto llevo a la muerte de 15 almejas que se trasladaron a este ambiente.

Tabla 4. parámetros del cultivo de tilapia.

CRECIMIENTO DE ALMEJAS EN EL ACUARIO EN EL LABORATORIO DE BIOLOGÍA

Los ejemplares de Anodontites sp mantenidos en acuarios, recibieron suministro de algas desecadas (Spirulina). Igualmente recibieron suministro de microalgas cultivadas en medios Bold y C-30 para Chlorella y Scenedesmus respectivamente. Sin embargo perdieron peso y condición rápidamente, llegando inclusive a presentarse mortalidad, luego de que permanecieran en los acuarios por un periodo mayor a 20 días.

ESTUDIOS REFERENTES A ANODONTITES EN LATINOAMÉRICA

Existen diversos trabajos sobre reproducción y alimentación de moluscos en cautiverio a nivel general, pero pocos investigadores se han dedicado al estudio de la Biología de los bivalvos de agua dulce del grupo Anodontidae.

En República Dominicana, en 1982 Cicero reporta por vez primera la presencia de este molusco para el país, identificándolo como A. grandis, citando a Taiwán como país de origen del grupo de peces hospederos con el cual fue introducido al país de manera accidental.

En 1986 Gómez et al realizaron un estudio sobre la distribución y característica de los moluscos de agua dulce en República Dominicana, en donde se reporta la presencia de A . grandis.

El Instituto Dominicano de Tecnología Industrial INDOTEC-(1990) inició el policultivo de A. grandis y Macrobrachium rosenbergii, en donde se determinó que existe un crecimiento adecuado de este mejillón, compatible con la cosecha del camarón.

Llibre y Calcaño (1994) realizaron un estudio sobre la biología, reproducción, especies hospederas y crecimiento de A. grandis en República Dominicana.

CONCLUSIONES

Se caracterizó y describió la morfología básica macro y microscópica del ejemplar en estudio, como un Lamelibranquio del género Anodontites.

Se realizaron cortes histológicos de algunos órganos tales como los filamentos branquiales, tubo digestivos, gónadas y tejido muscular en los ejemplares de Anodontites sp.

Bajo condiciones del laboratorio y estanque se alcanzaron incrementos de peso hasta de 32.55gr. y una longitud máxima de 9.5cm., dato que supera el crecimiento de muchos moluscos marinos.

El crecimiento y alta tasa de sobrevivencia en la almeja de agua dulce, hace posible el policultivo con peces tales como mojarra roja pese a que las formas larvarias (gloquidios) los parasitan temporalmente.

Teniendo en cuenta la tasa de crecimiento diario en promedio de (0,0987gr) y la densidad de siembra por jaula, se podría estimar la producción en 2.98 toneladas ha/año, lo que constituye una fuente importante de biomasa y material calcáreo.

RECOMENDACIONES

Se recomienda adelantar y continuar estudios particularmente en lo referente a:

Uso de la especie como biofiltro para controlar el florecimiento de algas, tales como Scenedesmus sp., chlorella sp., Closterium sp., Pediastrum sp., Cosmarium sp., Chorococcus sp., Pinnularia sp., Navicula sp. y en forma indirecta de algas filamentosas como Hydrodictyum reticulatum, indicadora de aguas estancadas, moderadamente contaminadas.

Considerar la introducción del Anodontites sp, a los sistemas de producción piscícola actual, como cultivo asociado.

Uso como bioindicador para contaminantes del medio circundante tales como metales pesados y pesticidas.

Estudios con ejemplares de Anodontites sp, sobre agentes inductores del desove como:

  1. Shock térmico
  2. Puncione
  3. Cloruro de potasio
  4. Oxitocina, entre otros
  5. Identificación de los estados larvales.

Formación de perlas. Dado que en la región las almejas de agua dulce ya se están consumiendo como fuente alimenticia tanto para humanos como para animales, se hace necesario mejorar las condiciones para el cultivo de los ejemplares de Anodontites sp.

AGRADECIMIENTOS

Los autores desean expresar sus agradecimientos a todas las instituciones y personas que contribuyeron en la realización de este estudio, en particular a La Universidad de los Llanos, por la financiación del estudio

Al IIOC (Instituto de Investigaciones de la Orinoquia Colombiana y al Centro de Investigaciones de la Facultad de Ciencias Básicas e Ingeniería, por permitir que una semilla germinase.

REFERENCIAS BIBLIOGRÁFICAS

ARTEAGA, E.,1993. Contribución al conocimiento del desarrollo larval de la ostra de agua dulce Acostea Rivoli (Deshayes, l827) en condiciones de laboratorio y algunos aspectos de su biología reproductiva. Tesis de grado Universidad Jorge Tadeo Lozano, Santa Fe de Bogotá.

BARBIERI, R.C.1999. La Acuicultura brasileña: Situación actual y perspectivas futuras. Panorama Acuícola 4/5: 24-25.

BONETTO, A., 1967. El género Anodontites brugiere (Mollusca, Pelecypoda) en el sistema hidrográfico del Plata. Physis. XXVI (73): 450- 467.

CLEMENTS, WILLIAMS 1999 Metal tolerance and predator prey interaction in benthic macroinvertebrate stream communities. Ecological Application 9(3) pp 1073-1084.

ELSEVIER. 1996. Aquaculture Vol. 140 Nos.1-2.

IBARRA, D., y C. COUTURIER 1998. Cultivo de Mejillón (Mytilus edulis). Panorama Acuícola 4/1:18-19.

LLIBRA, C y P. CALCAÑO, 1994. Biología de Anodonta grandis, Universidad Autónoma de Santo Domingo (UASD).

MARTÍNEZ, S. 1999. Colombia acuicultura en desarrollo. Panorama Acuícola 4/2:  8-10.

MICROSOFT ® ENCARTA ® Biblioteca de Consulta 2003. © 1993-2002 Microsoft Corporation. Reservados todos los derechos.

MORA, L. O., y G. A. de TABARES 1990. El cultivo de moluscos en Colombia. Cultivo de Moluscos en América Latina. Memorias segunda reunión grupo de trabajo técnico, noviembre 7-11,1989.

PINILLA, G. 1998 Indicadores bioecológicos en ecosistemas acuáticos continentales de Colombia. Fundación Universidad de Bogotá Jorge Tadeo Lozano. Centro de investigaciones Científicas. Pp 15-40.

RUPPERT, E.E., R. D. BARNES 1995. Zoología de invertebrados. Sexta edición. McGRAW-HILL interamericana 425-465.

STORER, TRACY L.ET AL. Zoología general. 5a. edición. Ediciones Omega S.A. Barcelona 1975.

WALNE, P.R.Culture of bivalve molluscus. Editorial Trustees. Londres 1979.

WEDLER, E. 1998. Introducción en la Acuacultura, con énfasis en los Neotrópicos. Primera edición. Copyright 273-285.

ZAPATA, A. M. 1994. Contribución al conocimiento de la almeja de agua dulce Anodontites elongastus (Swainson,1823) en la estación piscícola alto Magdalena- INPA, regional continental Gigante Huila. Memorias VIII congreso Latinoamericano de Acuicultura.